Dental Bonding Can Help With Chipped Teeth

Dental Bonding Santa Cruz, CA

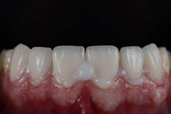
Dental bonding has many uses and fixing chipped teeth is one of them. It is typically used to treat a chipped tooth when the damage is minor. More severe damage that affects the inner structures of the tooth usually requires a crown or root canal therapy.

The importance of treating chipped teeth with dental bonding

While minor chips might not be accompanied by pain or discomfort, they can still lead to significant oral issues down the road. The outer layer of teeth, called enamel, is the most durable part of the body, and its job is to protect the less durable inner layers of a tooth. When enamel is chipped off, these inner layers become exposed to acids and bacteria in the mouth. This makes the tooth more vulnerable to decay and infection. A chip also leaves a tooth more vulnerable to being sensitive to hot and cold beverages and foods.

Failing to fix a chipped tooth can lead to a person feeling self-conscious about the appearance of their smile. It can lead to a person being reluctant to do things that might reveal their damaged tooth, like smiling or speaking. This can negatively impact a person’s personal and professional life.

How dental bonding fixes chipped teeth

The process of composite bonding is performed by applying a tooth-colored resin directly to a damaged tooth. The resin has a putty-like texture, and it can be molded once it has been painted on a tooth.

The process starts with the dentist preparing the patient’s tooth for the procedure by applying an etching solution to it. This roughens up the tooth’s surface so that the composite bonds better to it. Local anesthetics are rarely used during composite bonding because it is a painless procedure. A local anesthetic might be used if the patient is being treated for tooth decay, as decayed areas of teeth being treated will need to be removed.

The dentist will then apply a layer of composite, shape it and harden it. The process is repeated until the desired appearance is achieved. The dentist finishes the treatment by polishing it. This helps keep stains off the repaired tooth and gives it a nice shine.

It typically takes about an hour to repair a tooth with composite resin. There is no recovery period after composite bonding, so the patient is free to return to their regular routine immediately. Repairs made with composites can last up to 10 years with good oral hygiene.

Composite bonding is typically used to fix a chipped tooth when the damage to the tooth is only cosmetic. Chips that affect a tooth’s structure will need to be covered up with a restoration, like a crown.

Fix your smile with composite bonding

Dental bonding can restore the appearance of your chipped tooth and restore your confidence. Call or stop by our Santa Cruz clinic to learn more about how our dentist can fix your tooth with composites, or learn about your other options.

Check out what others are saying about our dental services on Yelp: Dental Bonding in Santa Cruz, CA.

 

Recent Posts

Dental Bonding: An Easy Way To Repair Chips, Cracks, And Gaps

Minor chips, cracks, and gaps in the smile do not have to be permanent. Dental bonding is a quick yet durable way to repair teeth with these cosmetic imperfections. With natural-looking results and minimal preparation, bonding can support oral health and restore the smile to its prior radiance.Dental bonding is a cosmetic procedure in which…

What's Involved In The Dental Bonding Procedure?

Dental bonding is a common dental procedure that repairs damaged teeth (chips, cracks, etc.), fills in gaps between teeth and lengthens teeth that are worn down or naturally too short. Understanding the process that dentists use with dental bonding should help you decide if treatment is right for you. Although each dentist will have their own…

Can Dental Bonding Fix My Smile?

Dental bonding is a way to improve your smile by closing gaps between teeth without orthodontic treatment, repairing chips and cracks and fixing other minor cosmetic imperfections. This review highlights what dental bonding is, what the benefits of treatment are and when to consider dental bonding treatment to improve your smile. No one should have to…

What Is Dental Bonding?

Dental bonding is also known as tooth bonding. It involves using a softened composite resin to fix cracks or minor chips in the teeth. The material is pliable, so the dentist can mold it into any shape. It can also be polished to provide a more natural-looking appearance. After this, the dentist can use ultraviolet…

Recent Posts

Benefits Of Porcelain Veneers

5 Benefits Of Porcelain Veneers

A beautiful smile boosts self-confidence and leaves a lasting impression. Porcelain veneers are a popular cosmetic solution, covering the front of teeth to correct discoloration, chips, and minor misalignments. Thus, they provide a transformative balance of beauty and function. Understanding the benefits of porcelain veneers can help you decide whether they are the right choice…

Tips For Partial Denture Care

Tips For Partial Denture Care

Partial dentures are a great tooth replacement option for missing teeth. They are easier on the mouth than full dentures but not as costly as dental implants. Those that wear partial dentures can expect an easier eating experience, better speaking and an aesthetically pleasing smile. However, with partial dentures comes discipline, meaning the wearer must…